Данный сайт не поддерживает протокол https. Откройте сайт по протоколу http://kgkb6.medkirov.ru/
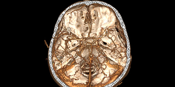
3. До операции3. После операцииneiro2-1photo_2023-05-26_15-21-17> > >
3. После операции.